
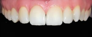
ホワイトニングは、歯の色を明るくするためのプロセスで、主に美
ホワイトニングには主に以下の方法があります:
ホームホワイトニング:自宅で行う方法で、歯科医が作成
ホワイトニングは、食生活や喫煙、加齢などによって変色した歯に
松戸やぎり歯科・矯正歯科では、いつでも無料相談を受け付けていますので気軽にご相談ください。
矢切駅より徒歩1分
〒271-0096 千葉県松戸市下矢切150-26

ホワイトニングは、歯の色を明るくするためのプロセスで、主に美
ホワイトニングには主に以下の方法があります:
ホームホワイトニング:自宅で行う方法で、歯科医が作成
ホワイトニングは、食生活や喫煙、加齢などによって変色した歯に
松戸やぎり歯科・矯正歯科では、いつでも無料相談を受け付けていますので気軽にご相談ください。